Logo HoLEP Kassel
Logo HoLEP Kassel

BPH

HoLEP (Holmium Laser Enukleation der Prostata)

BPH

© Patrick de Geeter

Update 31. März 2023

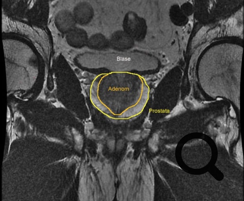
BPH steht für benigne Prostatahyperplasie. Damit ist die gutartige Prostatavergrößerung gemeint, welche mit zunehmenden Alter in individuell unterschiedlichem Umfang entsteht. Von einer normalen Größe von 15-25 ml kann die Prostata im Laufe der Zeit dadurch eine durchaus stattliche Größe annehmen. Diese gutartige Wucherung (auch 'Adenom' genannt) entsteht um die Harnröhre, welche durch die Prostatadrüse verläuft und verdrängt das eigentliche Prostatagewebe am Rande der Prostatadrüse. Dieses ist auf einer Kernspintomographie (MRT-Bild unten) sehr gut zu erkennen. Die Prostata liegt unterhalb der Harnblase und ist hier gelb umrandet; das dunklere Areal innerhalb der Prostata zeigt die gutartige Vergrößerung, welche das heller dargestellte eigentliche Prostatagewebe als dünnere Schale am Rande verdrängt. Durch diese Vergrößerung wird die Prostata in der Regel weniger elastisch und verhindert auf diese Art eine normale zügige Blasenentleerung: der Harnstrahl wird schwächer. Die Harnblase kann unterschiedlich reagieren. In der Regel wird die Harnblase kräftiger und entwickelt eine muskelstarke Wandung. Dadurch wird die Harnblase leider auch weniger dehnbar und das Fassungsvermögen wird zunehmend kleiner. Ausserdem reagiert die Blase dann irgendwann heftiger bei kleineren Füllmengen: der Harndrang wird zwanghaft, sowohl tagsüber als auch nachts. Im Extremfall ist die Blasenentleerung dann kaum noch gut zu kontrollieren. In anderen Fällen resigniert die Harnblase und bringt nicht mehr die Kraft auf, die für eine vollständige Entleerung erforderlich ist: es entsteht Restharnbildung. In seltenen Fällen staut der Urin dann (schleichender Prozess und deshalb häufig unbemerkt !) bis in die Nieren zurück: dann droht ein Nierenversagen. Irgendwann kann die Situation dazu führen, dass die Harnblase nicht mehr entleert werden kann: es kommt zum Harnverhalt. Letzteres ist in der Regel ein schmerzhaftes Ereignis mit prall gefüllter Blase und starkem Harndrang. Häufig wird ein Harnverhalt durch eine vermehrte Füssigkeitseinnahme oder Alkoholgenuss ausgelöst. In seltenen Fällen hat sich fast unbemerkt immer mehr Resturin gebildet und die Harnblase läuft dann zum Schluss über, wobei sich dann ständig unkontrolliert tropfenweise Urin entleert ('Überlaufblase').



BPH im MRT